2023年5月10日,广元市第一人民医院神经内科成功完成川北地区首例WEB栓塞宽颈前交通动脉瘤,为治疗颅内动脉瘤开辟了新的治疗思路,填补了川北地区颅内动脉瘤治疗领域WEB装置使用的空白。

54岁的邢阿姨,牙龈癌放疗术后行面部增强ct检查发现前交通动脉瘤。颅内动脉瘤是常见的危及生命的血管疾病,全球成年人患病率达5%—8%,动脉瘤破裂可导致蛛网膜下出血,其致死和致残率可高达40%—50%,号称“不定时炸弹”。


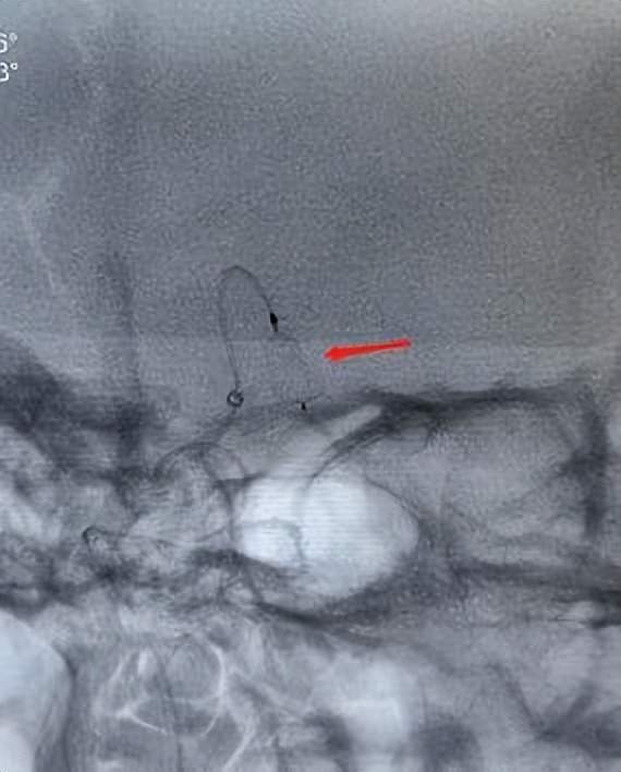
术前图片
全脑血管造影检查显示,此患者的动脉瘤位于前交通动脉,瘤体大小约5.58*5.57*7.74(mm),瘤颈口宽约4.82mm,瘤颈部见一突起小子囊。如行常规的动脉瘤栓塞手术,需行颅内支架辅助栓塞,术后长期双抗的使用引发出血的风险极高。
神经内科副主任熊兰立即组织介入团队开展术前讨论,结合动脉瘤的形态、大小,仔细分析,经与家属协商,最终决定为患者置入最新的WEB(自膨式动脉瘤瘤内栓塞系统),既避免了开颅的创伤,又解决了双抗带来的出血风险。
确定手术方式后,神经内科介入团队与四川省华西医院王朝华教授对患者生理状态、术中可能出现的突发情况及处理方式、并发症预防和处理预案、术前术后护理、围手术期用药和预后康复等情况进行了周密讨论,并达成共识,制定了完善的治疗方案。

经过充分的术前准备,5月10日,神经内科介入团队紧密配合,经过“种子、萌芽、开花”三个阶段,成功为患者实施动脉瘤WEB装置植入手术,为邢阿姨拆除了随时可能危及生命的“炸弹”。术后动脉瘤腔内造影剂即刻滞留,完全达到预期效果。



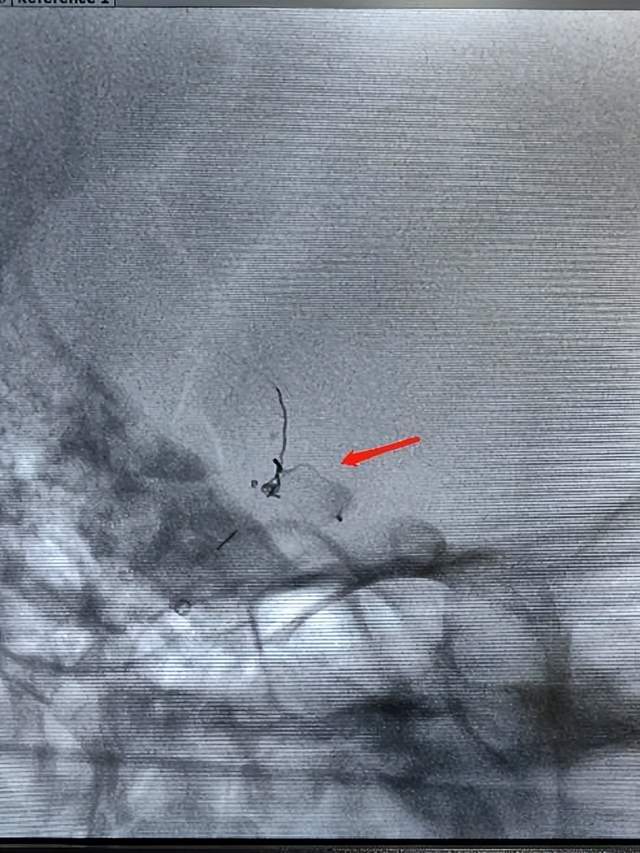
术中图片


术后图片
术后动脉瘤腔造影剂滞留明显,子囊未显影,颅内血管通畅。

介入团队合影
熊兰副主任介绍,WEB装置为自膨胀式动脉瘤瘤内栓塞系统,是给予瘤腔内扰流理念设计,既能诱发瘤腔内血栓形成,又可通过促进瘤颈内皮化以实现动脉瘤痊愈。因其具有高密度的微编织网眼、高度的动脉瘤壁吻合性、释放安全方便、术后复发及出血几率低,手术时间短,术后恢复快,且术后无需长期应用抗血小板药物等优势,减轻了患者术后长期服药的心理和身体负担。
近年来,广元市第一人民医院神经内科以国家高级卒中中心为依托,紧跟医学发展趋势,持续学习,提升技术,夯实业务基础,在微创领域不断取得新的突破,成功开展了多项高难度微创新技术,全面提升了科室诊疗能力,让更多患者受益。(胡婷)
