“原来我的高血压是这个东西在作怪!”看着术后恢复正常的血压数值,38岁的罗女士长舒一口气。谁能想到,困扰她许久的高血压,竟藏着这样一个“幕后黑手”!

青年女子被高血压缠上,常规治疗却不见效
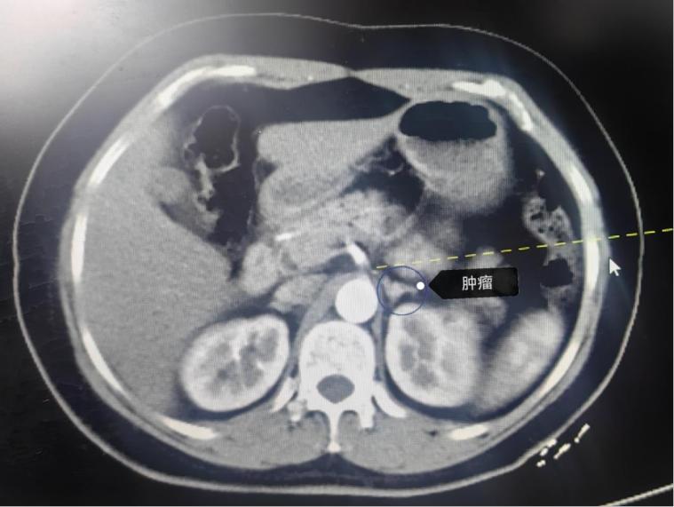
今年2月27日,罗女士因高血压来到安医门诊就诊。不同于普通高血压患者,年仅38岁的她,即便按时服用降压药,血压依旧居高不下。凭借丰富的临床经验,心血管内科医生敏锐地察觉到:这很可能不是普通的原发性高血压,背后或许另有隐情!随后,罗女士被收入心血管内科住院。一系列详细检查后,真相逐渐浮出水面——她被确诊为“原发性醛固酮增多症”,CT检查更是发现左侧肾上腺占位!这意味着,罗女士的高血压极有可能是肾上腺疾病引发的继发性高血压!多学科协作抽丝剥茧,精准锁定“罪魁祸首”
为明确病灶,医生团队决定采用介入AVS(经皮肾上腺静脉采血)术进行精准定位。这项技术能通过采集肾上腺静脉血,准确判断哪一侧肾上腺才是导致激素异常分泌的“真凶”。经过严谨细致的检查,左侧肾上腺被最终锁定,且具备外科手术指征!

心血管内科立即邀请泌尿外科会诊。与罗女士充分沟通病情后,专家团队建议通过外科手术切除病灶。罗女士欣然同意,并出院进行药物控制血压等术前准备。
微创“拆弹”成功!术后血压恢复正常
日前,罗女士再次入院,入住泌尿外科。完善各项术前准备后,在麻醉科的默契配合下,泌尿外科专家团队为她实施“后腹腔镜下左侧肾上腺切除术”。

凭借精湛的技术和丰富的经验,手术顺利完成,成功“拆除”这颗导致高血压的“定时炸弹”!
术后,罗女士的血压迅速恢复到正常范围,头晕、乏力等症状也随之消失。“早知道是这个问题,我就不用受这么久的罪了!”罗女士感慨道。打破认知!这些高血压患者有望“治愈”。

此次手术的成功,不仅帮助罗女士摆脱了高血压的困扰,更实现了安医首例继发性高血压的外科治疗的突破!专家提醒:随着医学的发展,我们对肾上腺相关疾病的认识不断深入。年轻高血压患者、药物控制效果不佳的高血压患者,很可能存在继发性高血压的可能。通过专业检查明确病因后,部分患者可通过外科手术实现“治愈”! (李佳 来源:安居区人民医院)
