近日,一场突如其来的危机,让55岁的刘女士命悬一线。短短几个小时,从头痛难忍到陷入昏迷,她的大脑里,一颗“不定时炸弹”正在悄然威胁生命!
当天,刘女士突发全头部剧烈头痛,在诊所简单处理后稍有缓解。本以为只是普通头疼,便前往棋牌室消遣。
然而,打牌途中,她突然嗜睡、无法坐直,头痛更是愈发剧烈!紧急送往我院后,头部CT检查结果令人心惊——蛛网膜下腔出血!这意味着,她的脑内血管已经破裂出血!


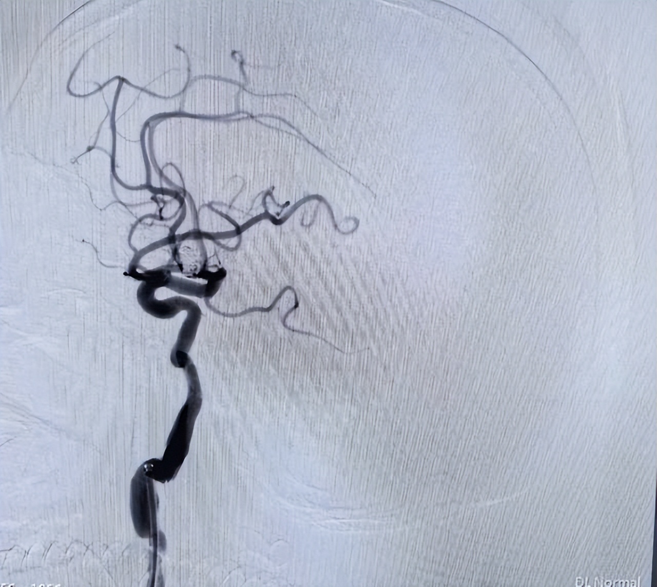
术前影像
时间就是生命!安居区人民医院卒中中心绿色通道立即启动,迅速安排头颈部CTA检查,很快锁定“罪魁祸首”——前交通动脉瘤!患者随即被收入ICU,但病情急转直下:呼吸困难、意识模糊……极有可能是动脉瘤再次破裂出血!若不立即手术,随时可能失去生命!与家属紧急沟通后,一场惊心动魄的“拆弹”手术即刻展开!

术中造影显示,刘女士的动脉瘤直径达8.5mm×7.0mm,形态复杂,尖端呈血泡样,这是动脉瘤中最凶险的类型之一,随时可能再次破裂!凭借精湛的技术和丰富的经验,专家团队沉着应对,成功实施“支架辅助弹簧圈动脉瘤栓塞术”,将这颗“炸弹”彻底“拆除”!


△术后影像
经过紧张的手术和术后监护,刘女士不仅挺过了难关,还顺利拔除气管插管,意识清醒,言语流利,肢体活动自如! 从命悬一线到转危为安,这场生死救援,见证了安居区人民医院卒中中心多学科协作的硬核实力,更彰显了医护团队“不放弃每一丝希望”的医者担当!此例动脉瘤栓塞术的成功实施,标识着安居区人民医院脑血管治疗领域实现全面突破。
专家提醒:
突发剧烈头痛、呕吐、意识模糊等症状
千万不要掉以轻心
尤其是中老年人,若出现类似情况
务必立即就医
安医卒中中心24小时待命
为您的生命健康保驾护航
24小时健康热线:0825-8662120
(李佳 来源:安居区人民医院)
