“心脏像揣了只乱跳的兔子,5年都睡不好安稳觉!”
51岁的夏先生怎么也没想到,困扰自己多年的心悸毛病,在遂宁市安居区人民医院1小时就解决了。
9月17日,医院心血管内科传来重磅消息——区域内首例频发室性早搏射频消融术成功完成!同一天,78岁的许奶奶也通过同款手术,告别了折磨她20年的阵发性室上性心动过速。
2万次早搏=心脏“乱弹琴”,风险不小

△术前心电图
夏先生的烦恼不是小问题:动态心电图显示,他24小时内早搏次数超过2万次,每4次心跳就有1次“乱拍”。
介入中心主任、心血管内科副主任郑全解释,这种频发室早就像心脏里藏了个“捣蛋开关”,长期下去可能导致心脏扩大、心功能下降,甚至有猝死风险。
以往这类患者得跑到成都、重庆的大医院做手术,不仅费用高,来回奔波也让老人吃不消。这次安医团队决定“啃下硬骨头”。

1小时精准“消融”,创口仅米粒大
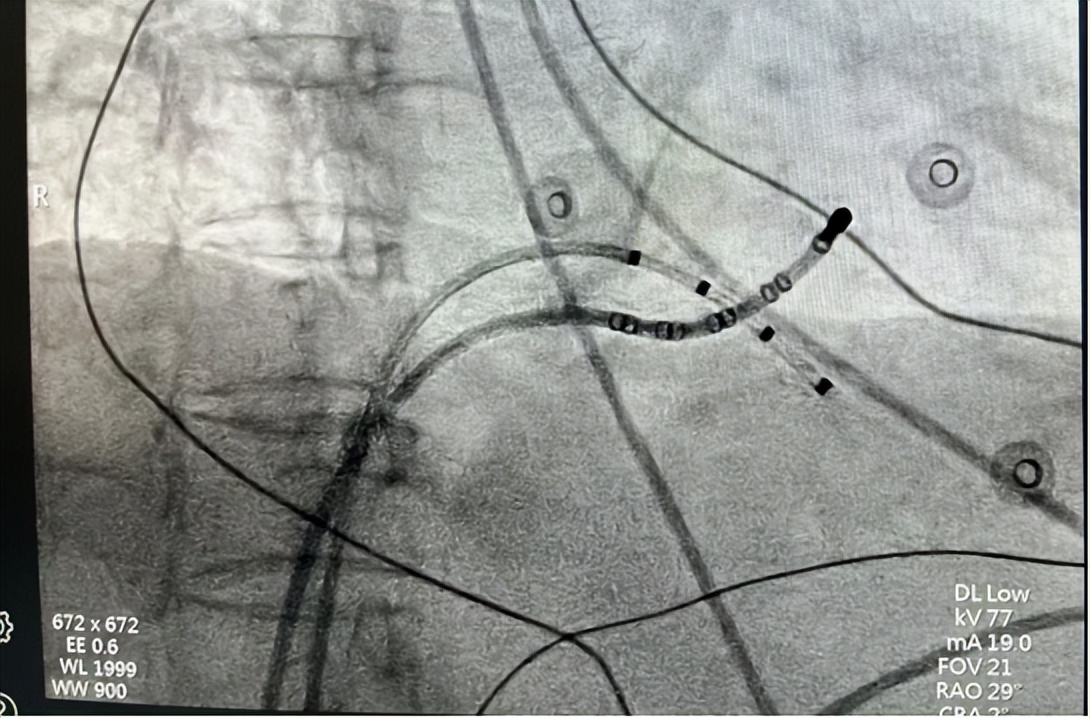
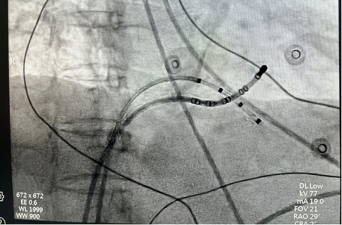
手术的关键,是找到心脏里的“异常激动点”。郑全主任团队通过股动脉送入射频导管,在三维导航仪指引下,在心脏主动脉瓣二尖瓣连接处(AMC区域)精准定位。

△术中三维导航,确定异常病灶,治疗快速性心律失常

△术中导管放置
“就像用精准导弹打掉靶点!”随着射频电流释放,异常病灶被彻底消融。整个手术仅用1小时,创口只有米粒大小。术后第三天,夏先生就康复出院,心悸症状完全消失。

出院前,他特意送来写有“情暖患者爱岗敬业 医德高尚医技精湛”的锦旗,表达对科室全体医护人员精心治疗和贴心护理的诚挚谢意。
一天两台高难度手术,技术迈上新台阶

△诱发心律失常过程

△导管图
更让人振奋的是,同一天郑全主任团队还为78岁的许奶奶完成了阵发性室上心动过速射频消融术。“20年了,心跳一快起来就像要蹦出来,现在终于踏实了!”许奶奶术后难掩激动。


△ 消融治疗心律失常中
医院心血管内科已常规开展房颤、房扑等快速性心律失常的射频消融治疗。此次首例频发室早手术的成功,标志着安居区人民医院心脏介入技术正式跻身区域先进行列。
温馨提示:
若经常出现心悸、胸闷、心跳“漏拍”感,建议及时做动态心电图检查。当24小时早搏超过1万次时,可咨询射频消融手术治疗。
(责编:李佳 来源:遂宁市安居区人民医院)
