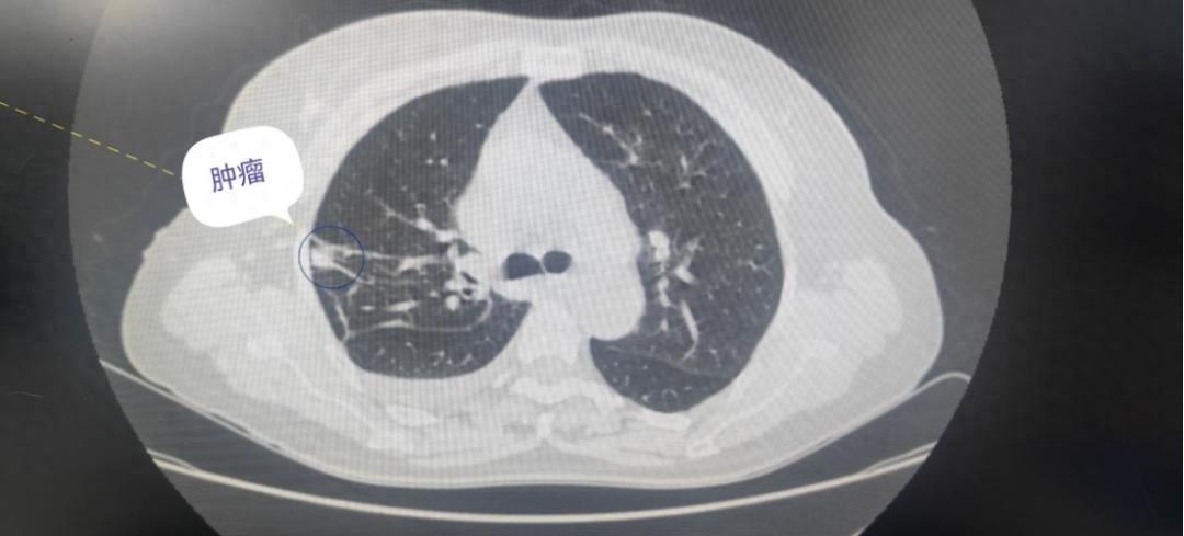
在与疾病抗争的战场上,每一次技术的突破都为患者点亮希望之光。近日,遂宁市安居区人民医院成功完成首例胸腔镜下肺肿瘤手术,这不仅是一个患者康复的好消息,更标志着医院胸外科迈向了全新的发展阶段,为众多肺部疾病患者带来了更先进、更精准的治疗选择。日前,黎女士因左肩疼痛不适,在医院门诊进行 CT 检查时,意外发现双肺散在实性、亚实性结节,其中最大的结节位于右肺上叶,约 1.4cm×1.3cm,胸部增强 CT结果显示右肺上叶尖段部分实性结节,LU-RADS 分级为 4A 类,需进行穿刺活检。出于对安居区人民医院的信任,黎女士入住呼吸与危重症医学科进行下一步治疗。

在 CT 引导下,医生为她成功实施了经皮右肺结节穿刺活检术,病理检查结果显示为原位癌。医院相关科室会诊后,认为患者具备外科手术指征,建议进行手术治疗。遂转入胸外科,科室医护团队迅速行动,为她完善各项术前准备工作。

在麻醉科的全力协助下,胸外科团队为黎女士实施了“胸腔镜下右肺上叶、中叶肺病变楔形切除术,淋巴取样术以及胸腔闭式引流术”。手术过程顺利,黎女士术后恢复良好,不久便康复出院。此次胸腔镜下肺肿瘤手术的成功开展,是安居区人民医院胸外科发展历程中的一个重要里程碑。胸腔镜手术作为一种先进的微创手术技术,具有创伤小、恢复快、疼痛轻等显著优势,能够最大程度减少手术对患者身体的损伤,缩短住院时间,提高患者的生活质量。

每一例手术的成功背后,都凝聚着安居区人民医院医护团队的专业与付出。从精准的病情诊断,到严谨的术前准备,再到精湛的手术操作和贴心的术后护理,每一个环节都彰显着医院 “以患者为中心” 的服务理念。
未来,医院将以此次手术的成功开展为契机,不断提升医疗技术水平,加强学科建设,为更多患者提供优质、高效、安全的医疗服务,守护广大人民群众健康。(李佳 来源:安居区人民医院)
